loading

About us

Delivering exceptional dental care with a strong emphasis on patient comfort, advanced treatments, and personalized service to ensure a healthy, confident smile

Location

  • Rr. Gjik Kuqali, Kati 1, Hyrja 11, Tiranë 1001, Albania

Social Media

Risultati Reali
Storie di Successo in Salute e Miglioramenti del Sorriso

Scopri i risultati reali con Sorrisi Prima e Dopo. Guarda come possono cambiare i tuoi sorrisi in modo sorprendente.

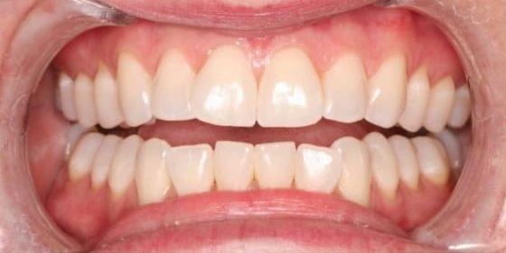
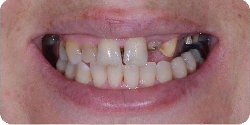
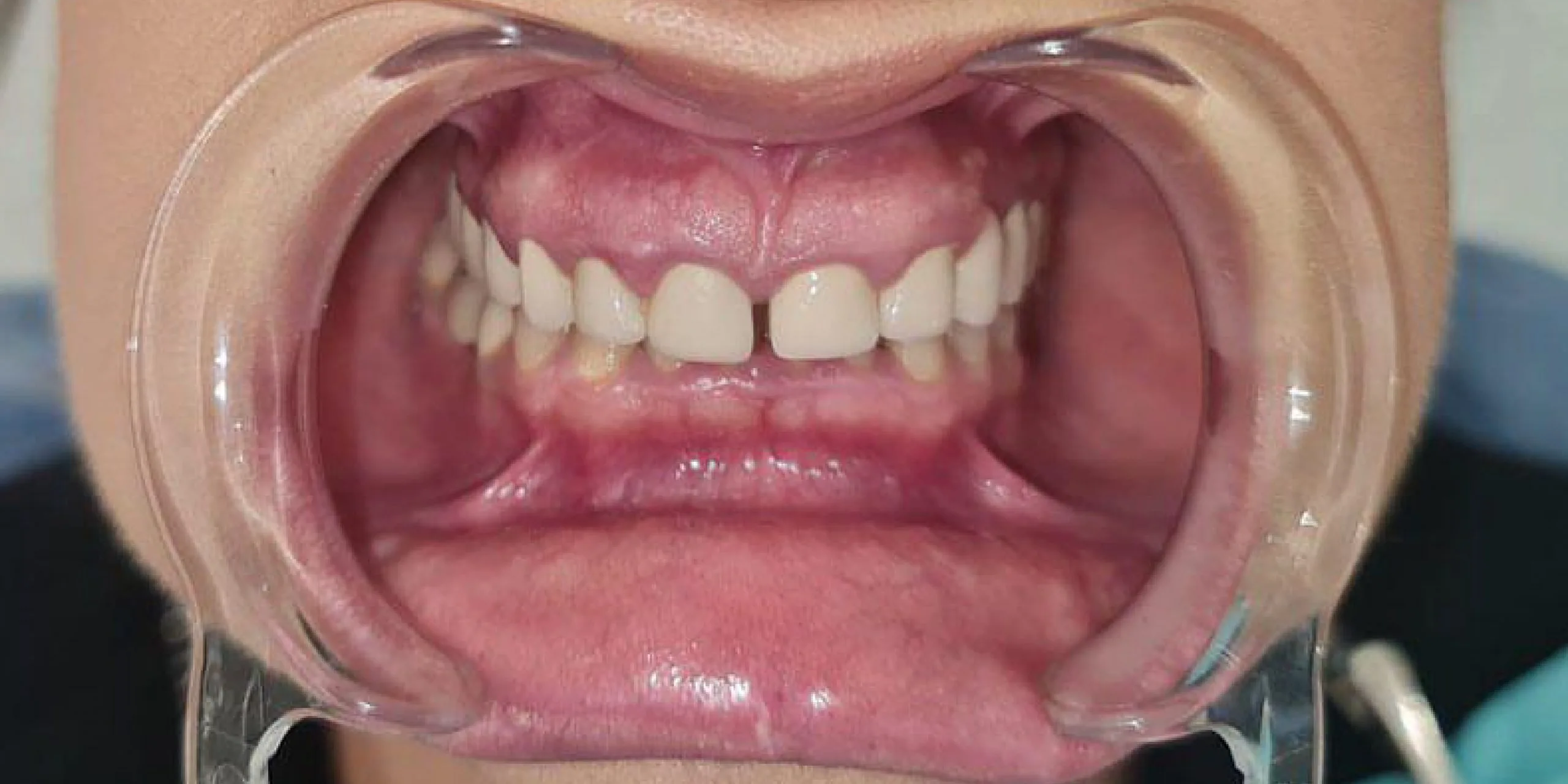
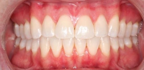
Before Before
After After
Riabilitazione Della Bocca
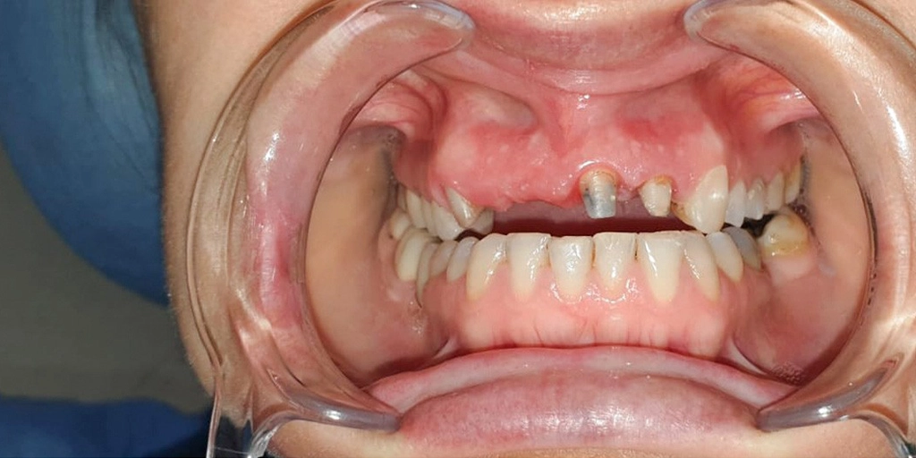
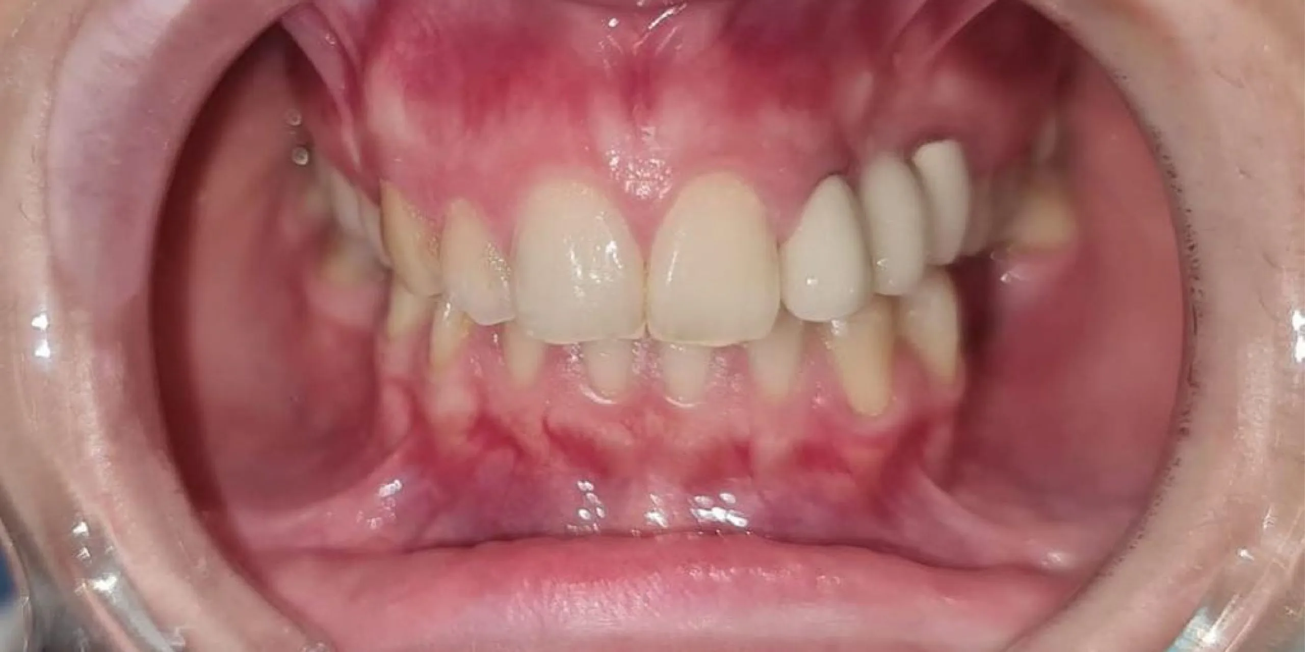
Before Before
After After
Riabilitazione Della Bocca
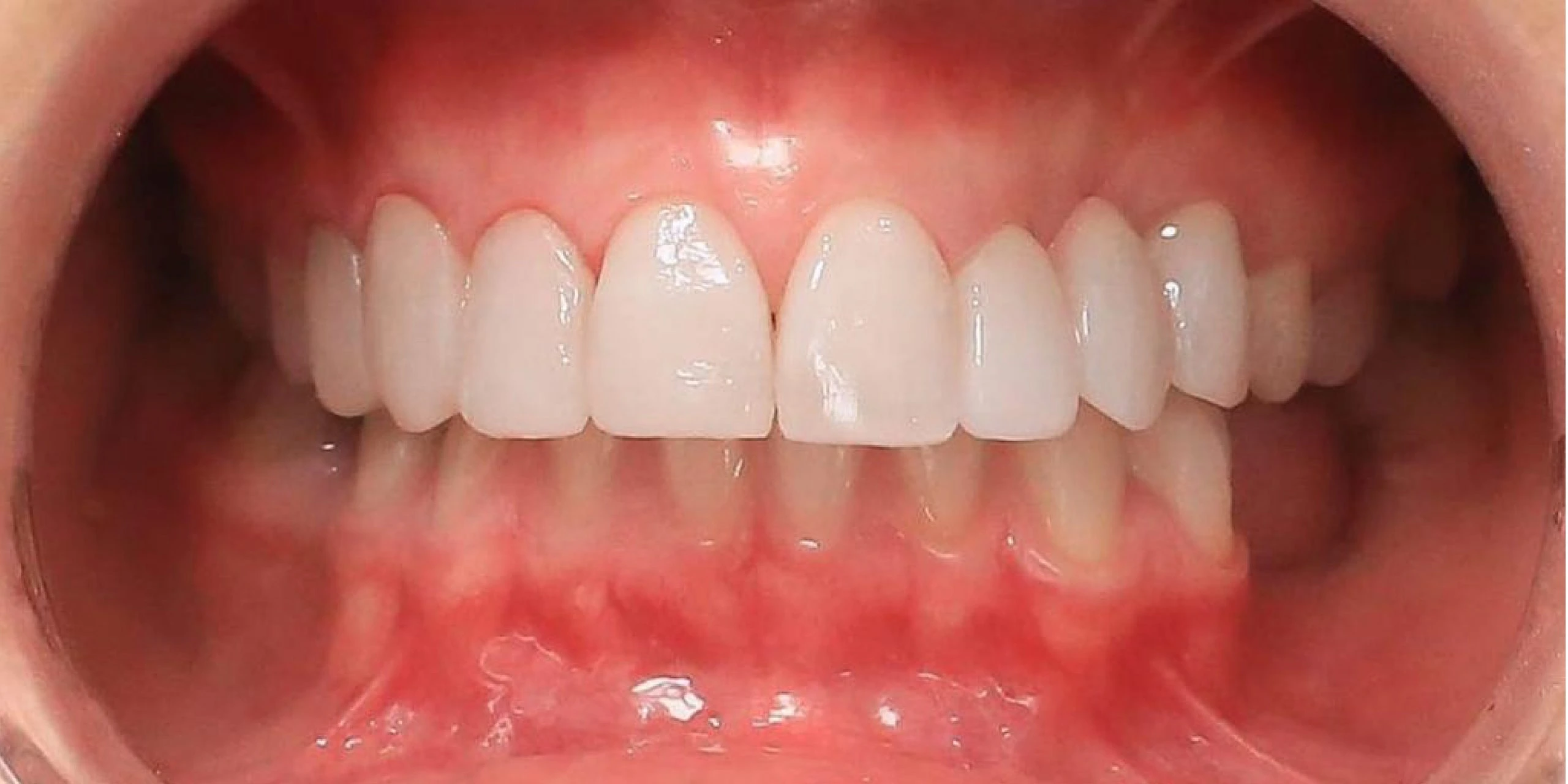
Before Before
After After
Trattamento Invisalign
Before Before
After After
Riabilitazione Della Bocca
Before Before
After After
Riabilitazione Della Bocca con Zirconia E-max
Before Before
After After
Riabilitazione totale della bocca in metallo-ceramica con ancoraggio, protesi elastiche trasparenti e massimo comfort
Before Before
After After
Riabilitazione della bocca con zirconia E-max
Before Before
After After
Riabilitazione totale dell'arcata superiore con corona in zirconia e-max
Before Before
After After
Sbiancamento con laser Bío Laser
Before Before
After After
Sbiancamento con laser Bío Lase
Before Before
After After
Riabilitazione Della Bocca
Before Before
After After
Riabilitazione Della Bocca
Before Before
After After
Estetica e terapia. Faccette in composito
Before Before
After After
Estetica e terapia. Faccette in composito
Before Before
After After
Trattamento Invisalign
Dental Experts Albania

Dental Experts Albania

I will be back soon

Dental Experts Albania

✨ Benvenuti a Dental Experts Albania
Siamo qui per prenderci cura del vostro sorriso 🦷
Scriveteci liberamente per informazioni, consulenze o appuntamenti.

Dental Experts Albania WhatsApp