loading

About us

Delivering exceptional dental care with a strong emphasis on patient comfort, advanced treatments, and personalized service to ensure a healthy, confident smile

Location

  • Rr. Gjik Kuqali, Kati 1, Hyrja 11, Tiranë 1001, Albania

Social Media

IMPLANTARI
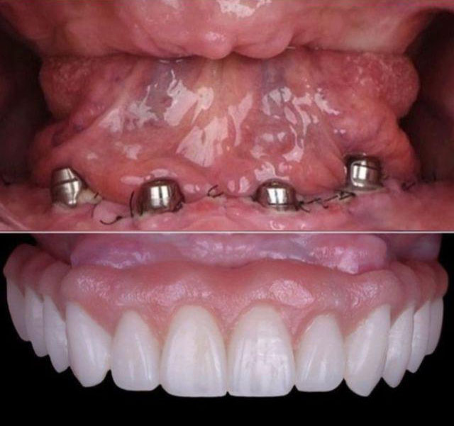
Qual è la tecnica implantare All on 4?

La tecnica implantare All on 4, è una forma di trattamento che prevede la fissazione di una protesi provvisoria, lo stesso giorno, su 4 impianti posizionati a determinate angolazioni, che vengono applicati a causa dell’eccessiva perdita ossea in pazienti completamente sdentati. Il tasso di successo è estremamente alto nei pazienti senza denti e iniziano a utilizzare la loro protesi fissa temporanea lo stesso giorno.

Quali sono i vantaggi della tecnica All on 4 Implant?

  • La percentuale di successo è molto alta.
  • I pazienti completamente sdentati possono iniziare a utilizzare la loro protesi fissa lo stesso giorno dell’operazione.
  • Previene la perdita ossea.
  • Poiché il numero di impianti è ridotto, anche il prezzo è inferiore.
  • Il tempo di recupero è breve e la procedura è indolore.
  • La protesi è facile da pulire e mantenere.
  • Il trattamento è ideale per i pazienti che hanno difficoltà nell’utilizzo di protesi rimovibili.
  • I risultati estetici sono elevati.
  • Il trattamento è pianificato in base al paziente. Fornisce un sorriso estetico. 
Richiedici un preventivo gratuito.

Ti risponderemo in 24h

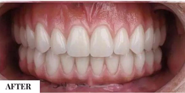
Before Before
After After

Domande & Risposte

Per chi è adatta la tecnica implantare All on 4?

Il trattamento implantare All on Four è adatto a pazienti che non hanno alcuna malattia sistemica, hanno un volume osseo sufficiente e non hanno denti.

Quante sessioni richiede la tecnica implantare All on Four?

Prima del trattamento implantare All on Four il chirurgo maxillofacciale specialista effettua un dettagliato esame clinico e radiologico. Le misurazioni effettuate mediante tomografia vengono utilizzate per la pianificazione della procedura.

La procedura ha due fasi. Nella prima seduta vengono inseriti 4 impianti dentali e lo stesso giorno viene applicata una protesi provvisoria. Dopo 3 mesi il paziente riceve le protesi dentarie permanenti.

Quali sono i vantaggi del trattamento implantare rispetto al trattamento del ponte dentale?

Per i ponti che vengono utilizzati per correggere uno o più denti persi è necessario preparare o ridurre le dimensioni dei denti, che si trovano davanti e dietro lo spazio vuoto. Ma nel trattamento implantare non è necessario interferire con i denti adiacenti poiché solo un impianto viene posizionato dove si trova il dente mancante, quindi i denti adiacenti non vengono danneggiati.

Il trattamento implantare All on Four è doloroso?

Come dopo ogni intervento chirurgico, potrebbero esserci dolore e gonfiore in seguito. Se i farmaci e le raccomandazioni prescritti dal chirurgo maxillo-facciale vengono applicati con attenzione, il recupero sarà completato in breve tempo. Se il paziente lo desidera, il trattamento può essere effettuato anche in sedazione o anestesia generale.

La tua prima visita

Molte persone che visitano Dental Experts Albania hanno domande su problemi estetici, inclusi denti macchiati e scoloriti. Durante la tua prima visita, riceverai una serie completa di raggi X, un esame approfondito, pulizia e tempo per parlare con il tuo dentista (prevedi di trascorrere circa 90 minuti nel nostro studio).
Esamineremo il tuo esame, parleremo di come vorresti migliorare l'aspetto dei tuoi denti e discuteremo un piano di trattamento.

Prima di tutto: Prevenire

Noi siamo dell’idea che la miglior cura è la prevenzione, prevenire è senza dubbio meglio che curare. Quando prevenire non è più possibile cerchiamo di cogliere sul nascere.

Appuntamenti puntuali

Ogni appuntamento inizia puntuale, con il minor numero di attese possibile.

Cura con un sorriso

Sappiamo che nessuno non vede l'ora di andare dal dentista. Quindi facciamo di tutto per rendere la tua esperienza presso il nostro ufficio unica nel suo genere. Guarda tu stesso!

Dental Experts Albania

Dental Experts Albania

I will be back soon

Dental Experts Albania

✨ Benvenuti a Dental Experts Albania
Siamo qui per prenderci cura del vostro sorriso 🦷
Scriveteci liberamente per informazioni, consulenze o appuntamenti.

Dental Experts Albania WhatsApp